I.
JUDUL
“MEMPELAJARI JARINGAN PADA HEWAN”
II.
TUJUAN
Setelah selesai praktikum ini diharapkan mahasiswa
dapat menjelaskan jaringan-jaringan penyusun pada hewan.
III.
DASAR
TEORI
Jaringan
adalah sekelompok sel yang mempunyai bentuk dan fungsi yang sama. Jaringan-jaringan
tersebut memiliki struktur dan fungsi yang sama. ( Waluyo, 2010:38 )
Ilmu yang mempelajari jaringan disebut histologi.
Jaringan didalam tubuh hewan mempunyai sifat yang khusus dalam melakukan
fungsinya, seperti peka dan pengendali (jaringan saraf), gerakan (jaringan
otot), penunjang dan pengisi tubuh (jaringan ikat), absorbsi dan sekresi
(jaringan epitel), bersifat cair (darah) dan lainnya. Masing-masing jaringan
dasar dibedakan lagi menjadi beberapa tipe khusus sesuai dengan fungsinya. Pada
saat perkembangan embrio, lapisan kecambah (germ layers) berdiferensiasi
(dengan proses yang disebut histogenesis) menjadi empat macam jaringan utama,
yaitu jaringan epitel, jaringan pengikat, jaringan otot, dan jaringan saraf. (
Prawirohartono, 1990 )
Jaringan
epitel merupakan jaringan yang membatasi oleh tubuh dengan lingkungannya baik
disebelah dalam maupun disebelah luar seperti dinding usus,pembuluh darah,dll.
Melihat strukturnya biasanya jaringan epitel membentuk suatu lapisan dengan
sel-sel yang rapat dengan ruang antar sel yang sedikit. (Waluyo,2010:38 )
Istilah
epitheliuem berasal dari kata epi yang berarti upon atau
di atas dan thele atau penting. Dengan berkembangnya pemakaian
mikroskop, istilah epitel tidak terbatas pada kumpulan sel yang membentuk
membran yang menutupi, tetapi tidak dugunakan untuk kelenjar. (Joko Waluyo,
2006: 34-35).
. Berdasarkan bentuk dan susunannya, jaringan
epitel terdiri atas :
a.
Epitel pipih selapis (epitel
skuamosa biasa)
Bentuk sel ini pipih dan poligonal bila dilihat dari
atas. Inti umumnya lonjong dengan sumbu sejajar dengan membran basal. Contoh:
Pleura, peritomeu, endhotel pembuluh darah,epitel dan kapsula bowman dan loop
Henle dan ginjal,dll.
b. Epitel kubus selapis
Dilihat dari atas bentuk epitel poligonal. Sedang dari
samping berbentuk kuboid. Inti bulat dan umumnya terdapat di tengah. Contoh:
ovarium, tiroid, nefron ginjal,dll
c. Epitel
kolumnar satu lapis(epitel silindris selapis)
Bentuk epitel ini silindris dengan inti lonjong tegak
dalam sel di bagian basal. Pada usus terdapat sel Goblet yang menghasilkan
mucus.
d. Epitel berlapis semu bersilia
Epitel ini berbentuk kolumnar. Semua sel mencapai
membran basal, tetapi inti sel tersusun dalam tingkatan yang berbeda. Contohnya
pada trakea, hidung dan bronkus.
e. Epitel transisional
Epitel ini terdapat pada saluran keluar. Epitel ini
berlapis-lapis dengan sel-sel yang hampir serupa dengan inti yang kurang bulat.
Contohnya pada ureter dan vesika urinaria.
f. Epitel pipih banyak lapis
Epitel ini terdiri dari berbagai lapis sel yang
permukaannya terdiri dari epitel pipih. Contohnya pada epidermis kulit. (Waluyo,1993:22)
Jaringan
Pengikat merupakan jaringan yang fungsinya memperkuat tubuh, mengisi tubuh atau
menghubungkan jaringan yang satu dengan yang lain. Melihat strukturnya jaringan
ikat biasanya mengandung sel-sel yang relatif
jarang dengan antar sel yang banyak. Jaringan ini merupakan jaringan
embrional yang ditemukan pada tali pusat. Ia terdiri atas matrik dengan sel-sel
berinti dengan cabang-cabang yang saling bersentuhan. ( Parjatmo dkk,1987:19)
a)
Jaringan ikat longgar atau areolar
Jaringan ikat ini terdapat hampir semua bagian
mikroskopis tubuh karena merupakan materi pembungkus dan penghambat. Fungsi
utama jaringan ini adalah mengikat jaringan tubuh agar bersatu dan sekaligus
memungkinkan gerakan di antara mereka.
b) Jaringan ikat padat
Jaringan ini membentuk tendon sebagai tempat
perlekatan otot, tulang dan ligamen sebagai tempat persendian tulang dengan
tulang. Terdapat pada dermis, tunica submucosa saluran pencernaan.
c)
Jaringan ikat reticular
Jaringan ini merupakan jaringan jenis ikat primitiv
yang ditandai adanya jaring-jaring serat reticular dengan sel-sel reticulum
primitive. Inti besar, pucat dengan banyak sitoplasma basofil. Jaringan
reticular membentuk kerangka organ-organ limfoid, sumsum tulang dan hati.
d)
Jaringan lemak
Jaringan ini terutama terdiri atas
sel lemak dalam matriks jaringan longgar. Ada dua jenis jaringan lemak, yang
putih dan yang coklat. Jaringan lemak putih terdapat di bawah kulit, diantara
otot. Jaringan lemak coklat hanya terdapat pada interskapula.
e)
Tulang
Tulang berupa jaringan yang sangat keras karena zat
antara selnya mengandung kalsium fosfat. Sel-sel tulang disebut osteocytes yang
juga terdapat dalam lacunae. Antara lacunae yang satu dengan yang lain
dihubungkan dengan saluran-saluran antar sel. Jaringan rawan(cartilage), zat
interseluler padat dan keras disebut matrix. Sel-selnya disebut chondrocyte
yang terletak di dalam rongga-rongga yang disebut lacunae. Daerah yang tepat
berada di luar lacunae disebut capsula. Tulang rawan merupakan jaringan yang
memperkuat tubuh
f)
Darah
Darah biasanya dimasukkan ke dalam kelompok jaringan
ikat. Zat antar sel berupa cairan yang disebut plasma darah. Bagian seluler
terdiri dari bermacam-macam sel yaitu eritrosit(sel darah merah)
berbentuk bulat pipih tanpa nukleus, leukosit(sel darah putih) selnya
berbentuk bulat dan mempunyai nukleus dengan ukuran yang jauh lebih besar dari
eritrosit, trombosit(keping darah) berupa keping-keping yang terkumpul.
(Parjatmo dkk,1987:19)
Jaringan otot dikhususkan untuk melakukan gerakan baik oleh badan secara
keseluruhan maupun oleh berbagai organ tubuh satu terhadap yang lainnya. Secara
fungsional ada otot yang di bawah kemauan kita(otot volunter) dan ada yang
tidak di bawah kemauan kita(otot involunter). (Waluyo,2010:54)
Struktur jaringan otot dikhususkan untuk melakukan gerakan baik oleh
badan secara keseluruhan maupun oleh berbagai organ tubuh satu terhadap yang
lainnya. Secara fungsional ada otot yang di bawah kemauan kita(otot volunter)
dan ada yang tidak di bawah kemauan kita(otot involunter). (Waluyo,2010:54)
a)
Otot polos
Bentuk gelendong, runcing di kedua ujung. Myofibril
homogen. Inti di tengah. Sarcoplasma tak jelas karena ditutupi myofibril.
Berkas-berkas otot diikat dan diselaputi oleh serat-serat extraselluler
jaringan pengikat. Terdapat pada alat-alat dalam, di bawah epidermis. Dapat
mengerut lama, disebut juga otot viscera.
b)
Otot lurik
Bentuk batang(silinder)0, tak jelas ujungnya karena
berdempet dengan sel tetangga. Myofibril tak homogen membiaskan cahaya, inti
dipinggir. Kadang inti lebih dari satu dalam tiap sel, mungkin berasal dari
gabungan beberapa sel otot. Terdapat pada rangka, pada beberapa hewan di wah
kulit. Disebut juga otot rangka.
c)
Otot jantung
Bentuk batang(silinder), tak jelas ujungnya karena
berdempet. Pada banyak tempat sel itu miring, menghubungkan sel yang letak
berjajar, diikat pula oleh serat-serat extraseluler jaringan pengikat sehingga
keseluruhan otot itu berjalin-jalin. Ukuran sel otot jantung sama dengan lurik.
Otot jantung terdapat khusus di jantung. Sebagian besar tubuh jantung dibina
atas otot ini. (Yatim,1987:125)
Jaringan Saraf terdiri atas neuron dan
neuroglia. Jaringan saraf berfungsi untuk melakukan koordinasi dari tubuh,
karena kemampuannya untuk menghantarkan impuls saraf yang berasal dari
rangsangan. Sel saraf disebut juga neuron terdiri dari badan sel di mana
terdapat nukleusnya, dendrit dan akson(neurit), biasanya akson diselimuti oleh
lapisan meilin, di bagian luarnya terdapat selaput schwann yang terdiri dari
satu lapis sel. Akson berfungsi untuk menghantarkan impuls keluar dari sel.
Sedangkan dendrit untuk menghantarkan impuls menuju sel saraf. (Waluyo,1993:26)
IV.
METODE
PENELITIAN
4.1 Alat
v Mikroskop
4.2 Bahan
v Preparat awetan jaringan epitelium
v Preparat awetan jaringan ikat
v Preparat awetan jaringan otot
v Preparat awetan jaringan saraf
V.
HASIL
PENGAMATAN
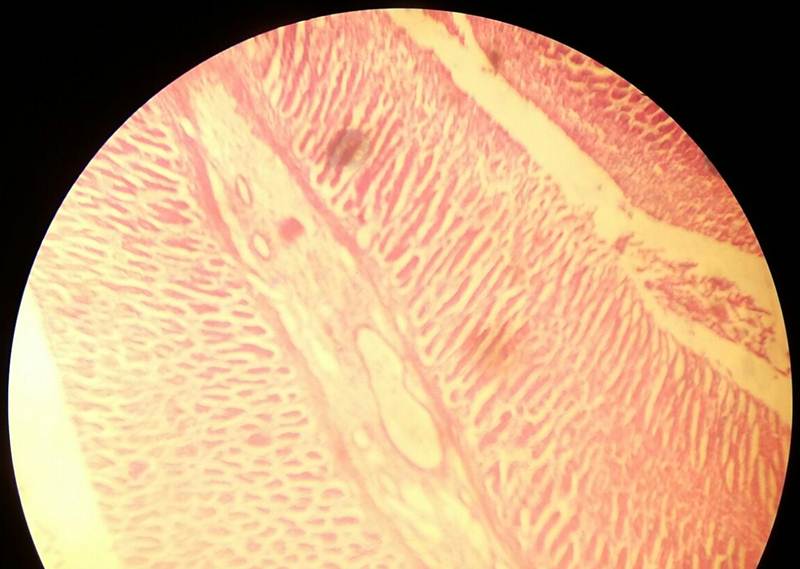
Epitelium berlapis banyak kubus
Kelenjar Susu H.E
|
Perbesaran 40x10 = 400 kali
|
Ket :
v Berbentuk Poligonal
v Berbentuk epitel kubus
|
Epitelium selapis pipih pada ren
|
Perbesaran 40x10 = 400 kali
|
Ket :
Terdiri
dari satu lapis saja dan sel berbentuk pipih
|
Jaringan Ikat Padat teratur pada Tandon
|
Perbesaran 40x10 = 400 kali
|
Ket :
v Bentuk sel:
Serabut kolagen
|
Jaringan Ikat Tidak Teratur
|
Perbesaran 40x10 = 400 kali
|
Ket :
v Bentuk sel serabut
v Terdapat sel fibrablasma
|
Jaringan Otot Polos
V.Urinaria H.E
|
Perbesaran 10x10 = 100 kali
|
Ket :
v Berbentuk gelondongan
v Mempunyai Intisel ditengah
|
Jaringan Otot Rangka
|
Perbesaran 10x10 = 100 kali
|
Ket :
Berbentuk
lurik tidak bercabang
|
Jaringan Saraf
|
|
Ket :
1) Inti sel
2) Denrit
3) Badan sel
4) Akson
5) Selubung myelin
|
VI.
PEMBAHASAN
Jaringan adalah sekelompok sel yang
mempunyai bentuk dan fungsi yang sama. Berbagai jaringan tersebut tersusun dan
terorganisasi dalam bentuk organ. Secara garis besar jaringan hewan dibagi
menjadi empat kelompok yaitu jaringan epitel, jaringan ikat, jaringan otot dan
jaringan saraf.
Jaringan
penyusun hewan yang pertama adalah jaringan epitel. Biasanya jaringan epitel
ini membentuk suatu lapisan dengan sel-sel rapat dengan ruang antar sel
sedikit. Jaringan epitel ini membatasi tubuh dengan lingkungannya baik dari
dalam maupun luar. Sehingga dapat dikatakan jaringan epitel ini sebagai
pelindung tubuh hewan.
Epitel dapat berupa membrane dan dapat berupa kelenjar. Membrane dibentuk oleh
lembaran sel-sel dan dapat meliputi permukaan luar atau membatasi permukaan
dalam fungsi umum jaringan epitel adalah sebagai difusi selektif, proteksi,
transport, sekresi, ekskresi, resepsi sensoris, dan pelumas.
Berdasarkan bentuk dan susunannya jaringan
epitel terdiri atas epitel pipih selapis, epitel kubus selapis, epitel
silindris selapis, epitel pipih berlapis, epitel berlapis semu bersilia dan
epitel transisional. Jaringan epitel biasanya terletak pada dinding usus,
pembuluh darah, epidermis, lambung, hidung, bronkus dan lain-lain.
Epitel mempunyai fungsi umum
diantaranya difusi selektif yaitu epitel memungkinkan terjadinya difusi. Proses
difusi dapat dihambat atau dipelancar sesuai kebutuhan, jadi epitel bertindak
sebagai alat selektif terhadap materi yang berdifusi melalui sel epitel. Proteksi
yaitu member perlindungan terhadap trauma mekinis, misalnya epidermis mukosa
mulut, esophagus bagian atas, vagina dan lian anus. Transport yaitu mucus (
lender ) dan bahan renik yang di alihkan dari permukaan epitel misalnya pada
saluran pernafasan dan saluran kelamin ( epitel berselia ). Sekresi yaitu dalam
hal ini epitel tersebut bertindak sebagai kelenjar. Ekskresi yaitu urin,
keringat, dan karbon dioksida berdifusi menembus epitel. Absorbsi adalah epitel
yang membatasi permukaan dalam usus selain berfungsi sebagai perlindungan, juga
berperan dalam proses penyerapan hasil-hasil pencernaan makanan yang bekerja
secara selektif.
Pengamatan yanga pertama. Mengamati jaringan epithelium berlapis
banyak Kubus pada Kelenjar susu H.E. preparat tidak terlihat bagian-bagian
selnya tetapi setelah diletakkan dimikroskop bagian-bagian preparat mulai
terlihat jelas. Pengamatan ini menggunakan perbesaran lensa okuler 10x dan
lensa obyektif 40x jadi total perbesarannya 400x. Jaringan epitel berlapis banyak
terdiri atas berberapa lapis sel bila dibandingkan dengan epitel sederhana,
maka bentuk dan susunannya lebih kuat. Jaringan epitel berlapis meliputi epitel
berlapis pipih, yang terdapat pada esophagus, epitel berlapis kubus yang
terdapat pada kelenjar susu.
Pengamatan
kedua. Mengamati
preparat jaringan selapis pipih pada Ren ( ginjal ).
Pengamatan
ini menggunakan perbesaran okuler 10x dan perbesaran obyektif 40x sehingga
total pembesaran 400x.
Endotelium pembuluh
darah pada ginjal terbentuk dari sel epitel pipih selapis dan membentuk
subuah lingkaran. Endotelium di sini Tersusun sebagai berikut :
Setiap ginjal memiliki
sekitar satu miliar nefron. Pada nefron ini terdapat jaringan pembuluh darah
kapiler (disebut gromerulus) yang merupakan organ filtrasi,
yang saling jalin menjalin dengan saluran-saluran yang kecil, yaitu tubulus.
Tubulus-tubulus ini pertama kali menerima gabungan antara zat-zat buangan dan
berbagai kimia hasil metabolisme yang masih bisa digunakan tubuh. Ginjal akan
‘memilih’ zat-zat kimia yang masih berguna bagi tubuh (natrium, fosfor, dan
kalium) dan mengembalikannya ke peredaran darah dan memasukkannya lagi kembali
ke dalam tubuh. Dengan cara demikian, ginjal turut mengatur kadar zat-zat kimia
tersebut dalam tubuh. Gangguan sindrom nefrotik terdapat pada pembuluh
darah kapiler pada gromerulus.
Inti sel, sebagaimana yang kita ketahui bahwa
inti sel itu berfungsi sebagai pengkoordinir pusat seluruh kegiatan sel dan
pada tubuh kita itu biasanya juga berfungsi untuk proses sintesis protein.
Namanya saja inti sel pasti dan tentu saja dia berada ditengah-tengah sebuah
sel.
Lumen, pengertian dari
lumen itu sendiri bahwa lumen adalah ruang atau rongga yang berfungsi untuk
tempat penyimpanan zat-zat makanan yang diperlukan oleh sel itu sendiri.
Terletak pada suatu jaringan yang beruang atau berongga.
Membran basal merupakan
membran yang berada didasar sebuah sel. Membran basal berfungsi sebagai tempat
melekatnya sel epitel dan inti sel berfungsi mengatur segala aktivitas sel.
Menurut referensi bahwa membran basalis merupakan kondensasi bahan
mukopolisakarida dan protein yang terdapat di bawah permukaan basal semua
epitel dengan ketebalan yang berbeda-beda. Membran basalis yang paling tebal
terdapat di bawah epitel yang sering mengalami gesekan seperti epidermis kulit.
Membrane basalis berfungsi sebagai penyokong dan bertindak sebagai filter yang
semipermeabel dari bagian basal epitel
Pengamatan ketiga. Mengamati jaringan ikat padat teratur pada tendon .
Pengamatan
ini menggunakan perbesaran okuler 10x dan perbesaran obyektif 40x sehingga
total pembesaran 400x.
Jaringan
ikat padat atau sering disebut jaringan pengikat serabut putih karena pada
matriksnya mempunyai serat-serat yang berhimpitan yang terbuat dari serat
kolagen. Jaringan ini lebih banyak disusun oleh serat kolagen dibandingkan
sel-sel jaringan ikatnya. Jaringan ini membentuk tendon sebagai tempat
perlekatan otot dengan tulang, dan ligamen sebagai tempat persendian tulang
dengan tulang.
Fibroblas, adalah sel yang mensintesis dan
mengsekresikan protein pada serabut.
Jaringan ikat padat dicirikan dengan susunan
serat-serat yang padat. Jaringan ini hanya memiliki sedikit subtansi dasar dan
sedikit sel-sel jaringan ikat.
Komponen utama penyusun jaringan ikat padat adalah kolagen berwarna
putih sehingga jaringan ini sering pula disebut jaringan ikat serabut putih.
Jaringan ikat padat bersifat tidak elastis, tetapi cukup fleksibel.
Pengamatan
keempat yaitu mengamati
jaringan ikat tidak teratur. Jaringan Ikat Padat Tidak Teratur,
terdapat dua bentuk tergatung macam serabutnya. Pada tendon dan ligamen
mayoritas kolagen sedangkan pada ligamentum nukhe serabut elatis yang utama. Pengamatan ini menggunakan perbesaran okuler 10x dan
perbesaran obyektif 40x sehingga total pembesaran 400x.
Jaringan ikat tersusun dari berbagai macam komponen
yaitu matriks dan sel-sel jaringan ikat. Bentuk sel-sel yang terdapat dalam
jaringan ikat tidak teratur, sitoplasma bergranula, dan intinya menggembung.
1)
Jaringan Matriks tersusun oleh
serabut-serabut dan bahan dasar.
v Serabut Jaringan Ikat
Berdasarkan
bentuk dan reaksi kimianya, Serabut dibedakan menjadi tiga jenis, yaitu serabut
kolagen, serabut elastin, dan serabut retikular.
a.
Serabut
Kolagen Jaringan Ikat
Serabut kolagen
mempunyai daya elastisitas rendah, daya regang sangat tinggi, berwarna putih,
dan bentuknya berupa berkas-berkas beragam. Serabut kolagen terdapat pada
tendon (penghubung otot dengan tulang) dan jaringan ikat longgar.
b.
Serabut
Elastin Jaringan Ikat
Serabut
elastin mempunyai elastisitas tinggi, berwarna kuning, lebih tipis dari serabut
kolagen, dan bentuknya seperti bangunan bercabang-cabang dan tebal. Serabut
elastin tersusun oleh protein dan mukopolisakarida. Serabut elastin antara lain
terdapat pada pembuluh darah dan ligamen. Elastisitas serabut elastin akan
semakin menurun dengan semakin bertambahnya usia seseorang.
c.
Serabut
Retikular Jaringan Ikat
Serabut retikular mempunyai daya
elastisitas rendah. Hampir sama dengan serabut kolagen, tetapi ukurannya lebih
kecil. Serabut ini berperan menghubungkan antara jaringan ikat dengan jaringan
lainnya.
v Bahan Dasar Jaringan Ikat
Bahan dasar
penyusun matriks berupa bahan homogen setengah cair yang terdiri dari
mukopolisakarida sulfat dan asam hialuronat. Matriks bersifat lentur jika asam
hialuronatnya tinggi dan akan bersifat kaku jika mukopolisakaridanya tinggi.
Bahan dasar yang terdapat dalam sendi bersifat kental, sedangkan yang terdapat
dalam tulang punggung bersifat padat
2)
Sel-Sel Jaringan ikat
Di dalam
matriks tertanam berbagai sel-sel penyusun jaringan ikat. Beberapa jenis sel
yang
tertanam dalam matriks sebagai berikut.
a.
Fibroblast Jaringan Ikat
Fibroblast berfungsi mensintesis dan mensekresikan
protein pada serabut.
b.
Makrofag
Jaringan Ikat
Makrofag
bentuknya berubah-ubah (tidak teratur) dan khusus terdapat di dekat pembuluh
darah, berfungsi dalam pinositosis dan fagositosis. Makrofag dapat digerakkan
atau didistribusikan ke jaringan lain yang mengalami peradangan.
c.
Sel Tiang
(Sel Mast) Jaringan Ikat
Sel tiang
berfungsi menghasilkan substansi heparin dan histamin. Substansi heparin adalah
suatu anti koagulan yang dapat menghalangi pengubahan protrombin menjadi
trombin yang berfungsi mencegah pembekuan darah. Substansi histamin adalah
suatu zat yang dihasilkan mastosit sebagai reaksi terhadap antigen yang sesuai
dan berfungsi meningkatkan permeabilitas kapiler darah.
d.
Sel Lemak
Jaringan Ikat
Sel lemak
berfungsi menyimpan lemak. Jaringan ikat yang memiliki sel lemak dalam jumlah
banyak disebut Jaringan adiposa.
e.
Berbagai
Jenis Sel Darah Putih
Sel darah
putih berfungsi melawan patogen (berupa bakteri, virus, atau Protozoa) yang
menimbulkan penyakit. Sel-sel darah putih bergerak bebas secara diapedesis di
antara darah, limfa, atau jaringan ikat untuk membersihkan patogen. Sel darah
putih ada 2 macam, yaitu sel darah putih granulosit dan agranulosit. Sel darah
putih granulosit (yang bergranula), misalnya eosinofil, basofil, dan neutrofil,
sedangkan yang agranulosit (tidak bergranula), yaitu limfosit dan monosit
Pengamatan kelima yaitu
mengamati jaringan otot polos pada V. Urinaria H.E dengan perbeseran 10x10 =
100kali sehingga bagian- bagian dari otot polos bisa terlihat. Bagian-bagian
yang terlihat diantaranya jaringan epitel transsisional. Setiap sel terdapat sel membrane, inti sel,
sitoplasma. Masing-masing sel dibungkus oleh lamina basalisi dan jalinan serat
rekulin otot polos mempunyai bentuk fusiform ( gelondongan ), bagian sel
tengahnya lebar dan meruncing pada kedua ujungnya.
v
ciri-ciri dari otot polos, antara
lain:
1.
Berbentuk gelondong dengan dua ujung
yang meruncing dan tepat pada bagian tengah cenderung menggelembung.
2.
Inti selnya hanya satu.
3.
Durasi kontraksi otot polos antara 3
sampai 180 detik.
4.
Polos sebab tidak memiliki
garis-garis yang melintang sama seperti yang dijumpai pada otot lurik.
5.
Otot polos ini bereaksi di luar
kesadaran atau control manusia sebab ia diluar perintah otak. Oleh seba itu,
otot polos kadang disebut juga sebagai otot tak sadar.
6.
Biasanya dijumpai pada bagian usus,
saluran peredaran darah, otot pada saluran kemih, pembuluh darah dan
lain-lainnya.
7.
Otot polos melakukan kontraksi
dengan reflex sebab ia berada di bawah saraf yang otonom.
8.
Reaksi otot polos ini lambat jika
dibandingkan dengan otot lurik dan tidak mudah lelah meski ia bekerja secara
terus menerus.
Bagian-bagian otot polos :
v
Membran Plasma:
Membran
plasma pada otot sering disebut sarkolema (Sarcolemma). Dengan mikroskop cahaya
kurang jelas, tetapi dengan mikroskop elektron tampak sebagai selaput ganda (double
membrane), masing-masing:
a.
Selaput luar, tebalnya berkisar
antara 25-30 Angstrom. Ruang intermedier, kira-kira 25 Angstrom
b.
Selaput dalam, tebalnya 25-30
Angstrom.
Pada daerah hubungan posisi antara
otot polos, selaput luar tampak menyatu. Hubungan ini dianggap lebih serasi
dari pada hubungan antar sel dengan desmosoma. Hubungan ini berperanan
memperlancar transmisi impuls untuk kontraksi dari satu otot ke otot yang
lainnya. Pendapat lain mengatakan bahwa tenaga yang terjadi pada waktu kontaksi
dapat dipindahkan ke lain alat tubuh melalui serabut kolagen atau elastis.
v
Sitoplasma
Bagian otot polos yang satu ini
juga sering disebut dengan istilah sarkoplasma atau Sarcoplasma dengan sifat
yang eosinofilik dan mengandung organoid yang terdiri atas mitokondria yang
memagari inti, apparatus golgi, sentriol, serta endoplasma reticulum. Selain
organoid, terdapat pula paraplasma misalnya glikogen juga lipofusin.
v
Inti sel
Berjumlah
satu dan memiliki bentk yang lonjong cenderung panjang dengan ujung yang
tumpul.
Otot polos terdapat pada:
·
Alat jeroan berupa lamina muskularis
dan muskularis mukosa, misalnya usus, lambung dan esophagus
·
Saluran pernapasan, misalnya bronchus,
broncheolus, dan trachea
·
Dinding pembuluh darah, membentuk
tunika media
·
Saluran urogenital, misalnya pelvis
renalis, vesika urinaria, ureter, duktus deferens, epididimis dll.
·
Kulit : muskulus arektorpili
·
Mata : muskulus siliaris, muskulus
konstriktor dan dilatator pupile.
Sel otot ini dinamai sel otot polos
karena memiliki miofibril yang homogen. Bentuknya adalah gelendong dengan satu nukleus di
tengahnya. Sel otot polos sifatnya tidak sadar dan tahan lelah. Sel otot polos
terdapat pada organ-organ dalam tubuh seperti ginjal, uterus, organ reproduksi
wanita dan pria, organ sistem pencernaan, organ sistem pernapasan, iris mata,
dan pembuluh darah. Sel otot ini juga dikenal dengan nama sel otot licin.
Pengamatan enam yaitu mengamati jaringan pada otot rangka. Perbesaran
pada pengamatan ini menggunakan perbesaran 40x10 = 400. Otot
lurik, atau yang dikenal juga dengan nama otot rangka tak lain adalah
jaringan yang menempel pada bagian rangka tubuh hewan atau manusia dimana
peranan utamanya memang untuk pergerakan. Otot lurik atau Skeletal Muscle
memiliki pigmen bernama mioglobin. Otot jenis ini merupakan otot yang paling banyak
ditemukan dan mendominasi hampir seluruh tubuh hewan juga manusia. Mengapa
disebut otot lurik? Alasannya adalah sebab jika diperhatikan melalu mikroskop,
otot yang satu ini memang memiliki bagian atau daerah yang gelap (disebut juga
myosin) dan area terang (disebut dengan aktin) yang bersusun secara selang
seling. Pola yang ditampilkan wilayah gelap dan terang tersebut menyerupai
lurik, oleh sebab itu dinamai otot lurik. Sementara itu, dinamakan otot rangka
atau kerangka sebab otot yang satu ini memang melekat pada rangka manusa atau
hewan.
Otot lurik atau otot rangka memiliki ciri khasnya yakni terlihat seperti serabut dalam jumlah ribuan yang terususun membentuk jaringan otot. Serabut tersebut secara teratur nampak sejajar seperti berkas yang disusun rapi. Masing-masing serabut disatukan oleh jaringan penyambung yang bisa diewati oleh saraf juga pembuluh darah. Otot lurik ini secara umum memiliki ukuran diameter hingga 50 mikron dengan panjang hingga 2,5 cm. Ciri lain otot lurik adalah bentuknya yang cenderung silindris, cenderung memanjang dan juga memiliki sel yang banyak atau dikenal dengan istilah multinuklei. Otot ini mampu bergerak dengan cepat akan tetapi mudah lelah jika dibandingkan dengan jenis otot lainnya. Otot lurik yang paling mudah dilihat adalah otot bisep maupun trisep. Kedua otot ini terletak pada bagian lengan atas kita. Ia berbentuk silinder yang memanjang dan memiliki inti yang banyak dan berada di bagian tepi. Otot trisep juga bisep ini bekerja dan digerakkan oleh alam sadar kita berupa rangsangan yang disebabkan oleh aktifitas diinervasi saraf sadar atau saraf motorik kita. Otot trisep juga bisep ini cukup cepat juga kuat namun sangat mudah kelelahan. Adapun sumber energi otot lurik adalah energi berupa ATP yang merupakan hasil metabolisme dalam tubuh.
Otot lurik atau otot rangka memiliki ciri khasnya yakni terlihat seperti serabut dalam jumlah ribuan yang terususun membentuk jaringan otot. Serabut tersebut secara teratur nampak sejajar seperti berkas yang disusun rapi. Masing-masing serabut disatukan oleh jaringan penyambung yang bisa diewati oleh saraf juga pembuluh darah. Otot lurik ini secara umum memiliki ukuran diameter hingga 50 mikron dengan panjang hingga 2,5 cm. Ciri lain otot lurik adalah bentuknya yang cenderung silindris, cenderung memanjang dan juga memiliki sel yang banyak atau dikenal dengan istilah multinuklei. Otot ini mampu bergerak dengan cepat akan tetapi mudah lelah jika dibandingkan dengan jenis otot lainnya. Otot lurik yang paling mudah dilihat adalah otot bisep maupun trisep. Kedua otot ini terletak pada bagian lengan atas kita. Ia berbentuk silinder yang memanjang dan memiliki inti yang banyak dan berada di bagian tepi. Otot trisep juga bisep ini bekerja dan digerakkan oleh alam sadar kita berupa rangsangan yang disebabkan oleh aktifitas diinervasi saraf sadar atau saraf motorik kita. Otot trisep juga bisep ini cukup cepat juga kuat namun sangat mudah kelelahan. Adapun sumber energi otot lurik adalah energi berupa ATP yang merupakan hasil metabolisme dalam tubuh.
Pengamatan ketujuh melukukan
pengamatan jaringan saraf menggunakan perbesaran 400x. dengan lensa okuler 40x
dan lensa obyektif 10x. bagian bagian yang dapat terlihat saat pengamatan
adalah inti sel, dendrite, badan sel, akson, dan selubung myelin. Jaringan saraf terdiri atas sel-sel saraf yang disebut neuron. Sel
saraf ini mempunyai struktur bercabang-cabang ke berbagai bagian tubuh untuk
mengatur aktivitasnya. Neuron mendapat suplai makanan melalui sel neuroglia
yang menyelubunginya. Neuron terdiri atas bagian-bagian berikut. Akson pada
jaringan saraf dikelilingi oleh sel penyokong yang disebut sel Schwann. Akson
diselubungi oleh selaput yang dinamakan neurilema. Sebelah dalam neurilema
terdapat selubung mielin yang mengandung fosfolipid. Bagian akson yang tidak
tertutup oleh selubung mielin dinamakan nodus Ranvier. Akson bercabang di dekat
ujung (terminal akson). Titik pertemuan antara terminal akson yang satu dengan
neuron yang lain disebut sinapsis. Titik pertemuan (sinapsis) ini berfungsi
meneruskan rangsang ke sel saraf yang lain dengan cara mengeluarkan bahan kimia
yang disebut neurotransmiter.
Berdasarkan cara memindahkan rangsang dan posisi yang
ditempati, neuron dibedakan menjadi tiga sebagai berikut.
a. Neuron Afferent (Neuron
Sensorik)
Neuron
afferent menyampaikan pesan dari organ ke saraf pusat, baik sumsum tulang
belakang atau otak. Oleh karena itu, penerima rangsang ini sering disebut juga
neuron sensorik.
b. Neuron Intermedier
(Interneuron)
Neuron
intermedier menyampaikan impuls dari neuron sensorik atau dari neuron
intermedier yang lain ke neuron motorik. Antara saraf satu dengan yang lain
saling berhubungan. Antara saraf yang satu dengan lainnya di hubungkan oleh
akson. Hubungan antara sesama saraf melalui titik temu antara ujung akson
neuron yang satu dengan dendrit neuron yang lain, yang disebut dengan sinaps.
Fugsi sinaps adalah meneruskan rangsang dari sel saraf yang satu ke sel saraf
yang lain. Sinaps mengeluarkan zat untuk mempermudah meneruskan rangsang yang
disebut neurotransmitter.
c. Neuron Efferent (Neuron
Motorik)
Neuron
efferent meneruskan impuls saraf yang diterima dari neuron intermedier. Pesan
yang dikirim menentukan tanggapan tubuh terhadap rangsang yang diterima oleh
neuron aferen. Dendrit dari neuron eferen menempel di otot sehingga sering
disebut juga neuron motorik.
Ø Badan sel saraf terletak di pusat saraf dan
ganglion. Ganglion adalah kumpulan badan sel saraf yang letaknya tertentu,
misalnya di kiri-kanan sumsum tulang belakang.
Ø Fungsi Jaringan Saraf
Sel saraf mempunyai
beberapa fungsi berikut
Ø Membawa
impuls-impuls saraf (pesan) ke pusat saraf maupun sebaliknya (konduktivitas)
Ø Bereaksi
aktif terhadap rangsang yang datang berupa gerakan pindah atau menghindar.
Ø Merespon perubahan
lingkungan
VII.
PENUTUP
a Kesimpulan
1. Jaringan hewan adalah sekumpulan sel-sel padaa hewan yang memiliki
fungsi yang sama.
2.
Jaringan penyusun pada hewan yaitu
jaringan epitel, jaringan ikat, jaringan otot dan jaringan saraf.
3.
Jaringan epitel berfungsi untuk
membatasi tubuh dengan lingkungan baik dari dalam maupun luar
4.
Jaringan ikat berfungsi untuk
menyambung, mengikat dan menyokong jaringan yang lain yang terdiri dari
jaringan ikat padat, jaringan ikat longgar, jaringan lemak, jaringan rawan, tulang
dan darah
5.
Jaringan otot berfungsi untuk melakukan gerakan, terdiri
dari otot polos, otot lurik dan otot jantung
6.
Jaringan saraf berfungsi untuk
menghantarkan impuls dari rangsangan luar






No comments:
Post a Comment